في العيد ومع اجتماع الأطفال ولعبهم ما بين جري وقفز، قد تحدث إصابات مثل الكسور، فكيف التعامل معها؟ وكيف نقلل خطر تعرض الأطفال لها؟
يقول استشاري جراحة العظام والمفاصل والمدير العام لمستشفى الأمير حمزة التابع لوزارة الصحة الأردنية الدكتور كفاح أبو طربوش في تصريحات “للجزيرة نت”، إن الاصابات بالكسور عند الأطفال تزداد بفترات الأعياد والمناسبات الاجتماعية المختلفة، وكذلك بفترة العطل المدرسية، لارتباط ذلك بقضاء الوقت بالأماكن الترفيهية والمتنزهات وأماكن الألعاب المختلفة.
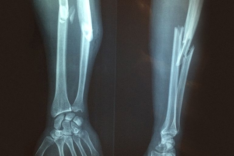
ما الكسر؟
أوضح الدكتور أبو طربوش أن الكسر هو عبارة عن انفصال في استمرارية النسيج العظمي، وعادة ما يكون ناتج عن إصابة أو قوة خارجية، أما الكسور غير الناتجة عن إصابة فهي كسور مرضية، تستدعي المزيد من الاهتمام من حيث معرفة المرض المؤدي للكسر.
الكسور عند الأطفال
أشار الدكتور أبو طربوش إلى أن الكسور عند الأطفال تختلف عنها عند الكبار، فعموما معظم هذه الأنواع من الكسور قابلة للعلاج دون تداخل جراحي، بينما البالغون والشباب كسورهم احتمالية أن تتطلب جراحة أكبر.
وتابع بأن كسور وإصابات الأطفال غالبا ما تكون مرتبطة بكثرة الحركة، كالسقوط، وعدم الانتباه وعدم الحيطة والحذر.
كيف نتجنبها؟
لتجنب الإصابة بالكسور حسب ما ذكر الدكتور أبو طربوش، فإنه يجب بداية تجنب الإصابة بالسقوط، ويكون ذلك من حيث الانتباه والأخذ بوسائل السلامة العامة مع الحيطة والحذر، مثل الحرص على عدم وجود عوائق قد تؤدي لتعثر الطفل، أو وجود أرضية زلقة أو مبللة. وعدم اللعب على سطح المنزل، أو على شرفة دون وجود حماية.
ودعا الأهل لمراقبة الأبناء أثناء اللعب واللهو، وعدم ترك الأطفال لوحدهم، بل مرافقتهم وجعلهم تحت أعينهم.
الإصابات الأكثر شيوعا
أوضح الدكتور أبو طربوش أن أكثر إصابات الأطفال شيوعا هي الكسور غير المزاحة أو قليلة الإزاحة، وعادة ما تكون في نهاية عظمة الكعبرة عند الرسغ، أو حول منطقة المرفق أي الكوع، بالإضافة لكسور الساق.
التعامل مع الإصابة حال حدوثها
يقول الدكتور أبو طربوش إن علاج الكسر أو أي إصابة عادة يبدأ من موقع الإصابة، حيث يتم تقديم الإسعافات الأولية للمصاب، ومن ثم نقله إلى أي مركز طبي أو مستشفى.
ونوه إلى أنه من الممكن التنبؤ أو الشك بوجود الكسر فورا بعد الإصابة، وذلك عن طريق شكوى المريض وفحصه، حيث يشكو المريض من ألم شديد، تورم، عدم المقدرة على استخدام الطرف المصاب، تشوه أحيانا بالطرف، مع إحساس بالطقطقة أو خشخشة الكسر.
ونبه إلى ضرورة تثبيت الطرف المصاب مع عدم التحريك عند الإصابة، ووضع كمادات باردة، والتوجه للطبيب بعدها أو طلب الإسعاف.